Dieser Text wurde nach bestem Wissen und Gewissen nach aktuellem wissenschaftlichen Stand zu Aufklärungszwecken bereitgestellt. Er dient der medizinischen Aufklärung und nicht zur Selbstdiagnose. Er ersetzt keine Vorstellung bei einem Facharzt.
Inhaltsverzeichnis
Ein 57-jähriger Patient stellt sich wegen einer zunehmenden Fehlstellung des 2. Zehs sowie ausgeprägter Schuhkonflikte auf dem Boden eines bekannten Hallux valgus vor. Die Beschwerden bestehen seit längerer Zeit und haben zuletzt zugenommen, sodass keine passenden Schuhe mehr gefunden wurden.
Klinischer Befund
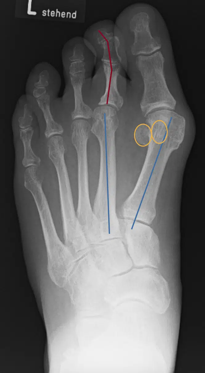
Seltene, z-förmige Fehlstellung des 2. Zehs („Zick-Zack-Zeh“) mit teilweiser Überlagerung über die Großzehe und rezidivierendem Zehenkonflikt. Begleitend moderater Hallux valgus mit medialer Vorwölbung am Köpfchen des 1. Mittelfußknochens und druckbedingter Reizung im Schuh (siehe Bild Links Vorderansicht in Orange die Hallux Valgus Fehlstellung und in Blau den Zickzack Zeh.
Bildgebung / Röntgen
Es zeigt sich eine ausgeprägte Hallux-valgus-Fehlstellung: Die orange markierten Sesambeine sind deutlich nach lateral verlagert, die mediale Köpfchenprominenz von MT I ist betont. Die blauen Achsen kennzeichnen die Längsachsen von MT I und MT II und belegen einen pathologisch vergrößerten Intermetatarsalwinkel (IMR-1/IMA) mit Spreizung des ersten Strahls. Zusätzlich fällt am zweiten Strahl eine Z-förmige Achsabweichung (rot) von Grund- und Mittelphalanx („Zick-Zack-Zehe“) auf.
Operation
Hallux valgus (minimalinvasiv, MICA): Über millimetergroße Zugänge wurde Metatarsale I mit feiner Fräse osteotomiert, nach lateral verschoben und mit einer Schraube stabil fixiert (stabile Schraubenosteosynthese). Zur Feinkorrektur erfolgte ergänzend eine Akin-Osteotomie an der Grundphalanx.
- Zeh („Zick-Zack-Zeh“): Perkutane Doppelosteotomie von Grund- und Mittelphalanx mit Geradestellung; Fixation in Zielstellung mittels Tape-/Strapping-Verband bis zur gesicherten knöchernen Heilung.
Nachbehandlung
- Belastung: sofort Vollbelastung im Verbands-/Vorfußschuh
- Analgesie: Absetzen ca. Tag 6
- Thromboseprophylaxe: 2 Injektionen
- Nähte: keine Fadenentfernung erforderlich
- Schuhwerk: Spezialschuh ca. 2 Wochen, danach Konfektionsschuhe
- Tape-/Strapping-Verband: 6 Wochen (Fotos mit Tape-Verband einfügen)
Ergebnis
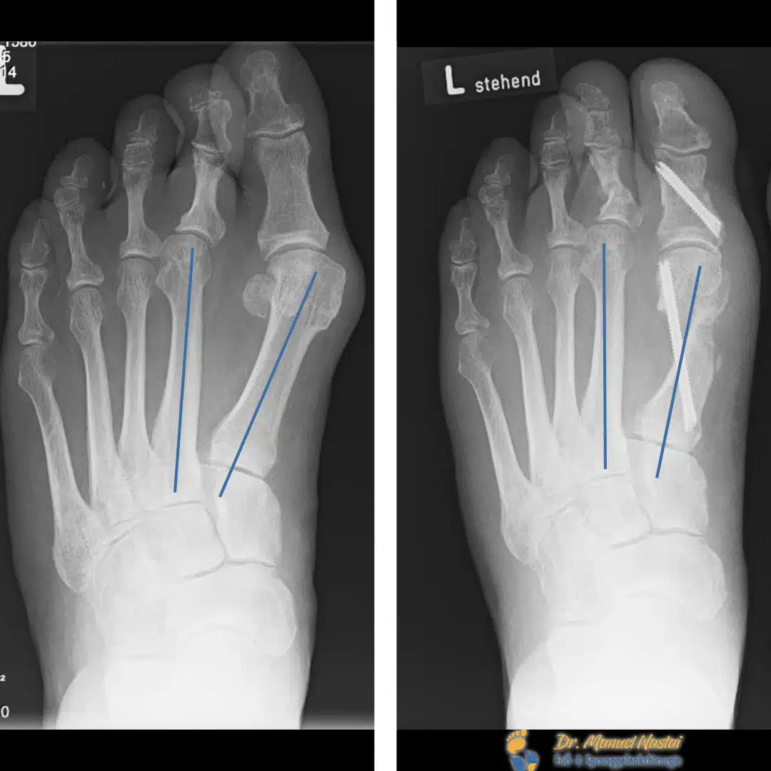
Präoperativ (links):
Dorsoplantar unter Belastung zeigt sich ein pathologisch vergrößerter Intermetatarsal-/IMR-1-Winkel (blaue Achsen) mit Spreizung von Strahl I–II. Das Köpfchen von MT I ist medial prominent; die Sesambeine sind deutlich nach lateral verlagert (orange). Zusätzlich besteht eine Z-förmige Achsabweichung des 2. Zehs („Zick-Zack-Zehe“).
Postoperativ (rechts):
Nach knöcherner Korrektur und schraubengesicherter Fixation ist der IMR-1/IMA deutlich verkleinert (blaue Achsen nahezu parallel), das MT-I-Köpfchen ist lateralisiert und rezentriert über den Sesambeinen (orange), das MTP-I erscheint kongruent. Der 2. Zeh steht wieder in gerader Achse. Die stabile Osteosynthese erlaubt die frühfunktionelle Vollbelastung im Spezialschuh.
Kontrolle nach 3 Monaten
Gerade Hallux-Achse; der 2. Zeh liegt plan am Boden neben der Großzehe – kein Zehenkonflikt. Geringe Restschwellung weiter rückläufig. Normale Konfektionsschuhe ohne Druckstellen.
Man sieht die Schwellung ist zurückgegangen und die Narben kaum erkennbar.
Minimalinvasive Korrektur der Kleinzehen – kurz erklärt
Die minimalinvasive Korrektur der Kleinzehen (perkutan) ermöglicht eine präzise dreidimensionale Begradigung bei sehr kleinen Hautschnitten. Über millimetergroße Zugänge werden die betroffenen Knochen mit feinen Fräsen osteotomiert, anschließend sanft reponiert und funktionell durch einen Tape-/Strapping-Verband in Zielstellung gehalten. So lassen sich Flexions-/Extensionsfehler, mediale/laterale Deviationen und Rotationsfehler adressieren – häufig mit geringerem Weichteiltrauma, weniger Schwellung und unauffälligen Narben im Vergleich zu offenen Verfahren. Hervorzuheben ist die komfortable Fixierung ohne herausragende Drähte: Der Verband stabilisiert, erlaubt aber in den ersten zwei Wochen eine Nachjustierung der Stellung, falls Feinkorrekturen erforderlich sind.
Entscheidend für das Ergebnis sind die korrekte Anlage und die konsequente Tragedauer des Strappings; ein zu frühes Entfernen kann Sekundärdeformitäten begünstigen. Funktionell sind frühe Mobilisation und Vollbelastung im Spezialschuh in der Regel möglich; der Wechsel in Konfektionsschuhe erfolgt nach ärztlicher Kontrolle. Diese Methode eignet sich für ein breites Spektrum an Kleinzehen-Deformitäten – von Hammer- und Krallenzehen bis zu komplexen Achsabweichungen.
Fazit
Mit minimalinvasiven Methoden lassen sich alle Formen der Kleinzehen-Fehlstellungen in allen drei Ebenen korrigieren (Beuge-/Streckfehlstellungen, Deviation nach innen/außen, Rotation) – ohne störende Drähte. Die Fixierung per Tape/Strapping ist komfortabel und in den ersten zwei Wochen nachstellbar, wodurch die Zielstellung optimiert werden kann. Zugleich gilt: Die Stellung des Strappings bestimmt die Prognose – eine zu frühe Entfernung kann zu sekundären Fehlstellungen führen.
Mehr Infos
Ahmed Qretam
Dr.-medic Melanie Selle
Daniel Thriemer
Lorem ipsum dolor sit amet, consectetur adipiscing elit. Ut elit tellus, luctus nec ullamcorper mattis, pulvinar dapibus leo.

































