Die 69-jährige Patientin stellte sich mit zunehmenden Schmerzen über dem zweiten Zeh vor. In den letzten Monaten hatte sich eine deutliche Verformung des 2. Strahls entwickelt – mit zunehmender Deviation nach medial und Überkreuzung mit der Großzehe. Ein Hallux valgus war der Patientin bekannt, verursachte jedoch bislang nur geringe Beschwerden; deshalb hatte sie eine Operation lange hinausgezögert und konservative Optionen ausgeschöpft.
Die 69-jährige Patientin stellte sich mit zunehmenden Schmerzen über dem zweiten Zeh vor. In den letzten Monaten hatte sich eine deutliche Verformung des 2. Strahls entwickelt – mit zunehmender Deviation nach medial und Überkreuzung mit der Großzehe. Ein Hallux valgus war der Patientin bekannt, verursachte jedoch bislang nur geringe Beschwerden; deshalb hatte sie eine Operation lange hinausgezögert und konservative Optionen ausgeschöpft.
Dieser Text wurde nach bestem Wissen und Gewissen nach aktuellem wissenschaftlichen Stand zu Aufklärungszwecken bereitgestellt. Er dient der medizinischen Aufklärung und nicht zur Selbstdiagnose. Er ersetzt keine Vorstellung bei einem Facharzt.
Inhaltsverzeichnis
Klinischer Befund
Bei der Inspektion zeigte sich rechts eine ausgeprägte Überkreuzung von Zehe I und II mit prominenter medialer Ballenwölbung (Hallux valgus) und Schuhkonflikt an der Innenseite. Über dem PIP-Gelenk der 2. Zehe fand sich eine druckdolente Prominenz mit Reibmarken. Die Beweglichkeit des MTP-I war gut erhalten – eine arthrosebedingte Einschränkung war klinisch nicht nachweisbar. Weitere relevante Befunde ergaben sich nicht.
Bildgebung
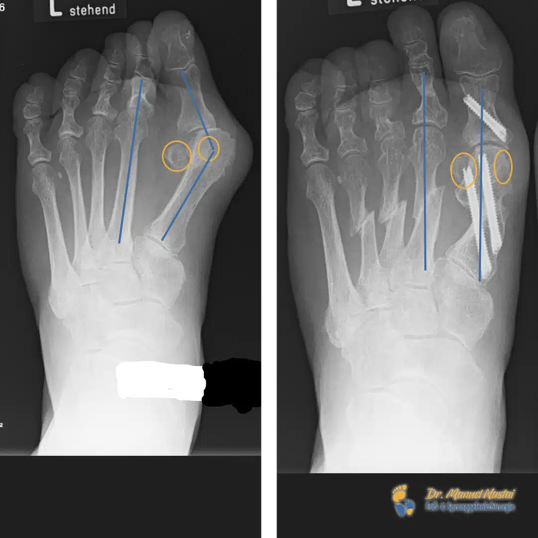
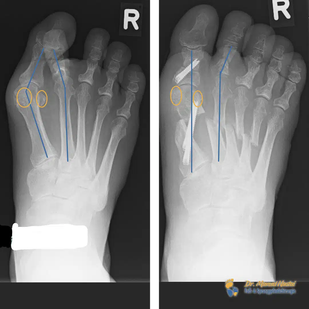
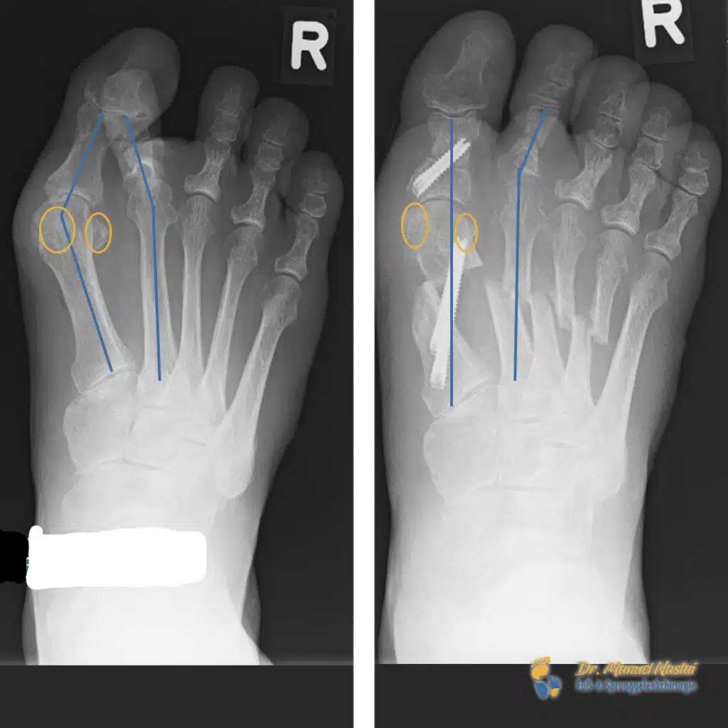
Links (präoperativ): Deutlicher Hallux valgus mit vergrößertem Intermetatarsalwinkel IMA 1–2 (blaue Linien markieren die Längsachsen von M1 und M2; die Spreizung ist klar erweitert). Die Sesambeine unter dem Großzehengrundgelenk (orange markiert) sind nach lateral verlagert und liegen nicht mehr zentral unter dem Metatarsalköpfchen – Ausdruck der Subluxation im MTP-I. Zusätzlich zeigt sich ein Hochstand / Beugerfixation der 2. Zehe: der 2. Strahl steht in Fehlstellung, was zur Überlastung/Transfermetatarsalgie neigt.
Rechts (postoperativ): Korrektur der Großzehenachse mit deutlich reduziertem IMA; die blauen Achsen von M1 und M2 verlaufen nun annähernd parallel (= Parallelisierung der Strahlen). Die Sesambeine (orange) sind rezentriert und wieder regelrecht unter dem ersten Metatarsalköpfchen positioniert. Die implantierten Schrauben sichern die Korrektur am 1. Strahl stabil. Die 2. Zehe zeigt eine aufgerichtete, belastungsfähige Stellung ohne Hochstand/Beugekontraktur.
Therapieplanung
Aufgrund des Hochstands und der Beugerfixation der 2. Zehe bestand ein schmerzhafter Konflikt über dem Mittelgelenk. Eine nachhaltige Druckentlastung und Verhinderung von Rezidivulzera war nur durch Wiederherstellung der Zehenordnung (Zehen flach nebeneinander, Geradestellung) zu erreichen. Zusätzlich war – angesichts der langjährigen Fehlstellung und der Weichteilverkürzungen – eine Achskorrektur des 1. Strahls erforderlich, um den Leitlauf des medialen Fußrandes zu normalisieren und sekundären Lastspitzen vorzubeugen. Da bereits überlange Strahlen II–IV klinisch zu Transfer-Metatarsalgie neigten, wurde eine prophylaktische, minimalinvasive Verkürzung dieser Strahlen mitgeplant.
Operation
Die operative Versorgung erfolgte in zwei Sitzungen mit etwa 6 Monaten Abstand, jeweils ambulant. Sitzung 1 (Vorfuß-Rekonstruktion): Korrektur des Hallux valgus am 1. Strahl (minimalinvasive Umstellungsosteotomie mit lateralisierender Kopfverschiebung und stabiler Verschraubung) zur Reduktion des IMA 1–2; zusätzlich Weichteilbalancierung/Feinjustierung an der Großzehe. Am 2. Strahl wurde die Überkreuzung durch Korrektur am PIP/MTP-Komplex behoben (Achsenaufrichtung, Entspannung der Beuger-/Streckerzüge, Geradestellung). Sitzung 2 (Druckmanagement): Zur Rezidivprophylaxe und Entlastung der plantaren Druckspitzen erfolgten distale/metaphysäre Mini-Inzisions-Osteotomien an den Strahlen II–IV (klinikinterner Standard: DMMO/BMMO), mit gezielter, milder Verkürzung („Shortening“) und externem Tape-Verband zur Weichteilberuhigung. Implantate: Am 1. Strahl kanülierte, kopflose Schraube zur lagestabilen Fixation; an den Strahlen II–IV war keine interne Osteosynthese erforderlich (Tape-Lagerung ausreichend).
Ergebnis
Die Annäherung der Strahlen I und II war im Röntgen unmittelbar nachvollziehbar (Reduktion des IMA, stabile Schraubenlage am 1. Strahl). Klinisch zeigten die Aufnahmen gerade, nebeneinanderliegende Zehen ohne Überkreuzung; die mediale Ballenprominenz war begradigt, der Zehenkonflikt aufgehoben.
Nachbehandlung
Vollbelastung im Spezial-/Verbandschuh war ab Aufwachraum möglich. Die Tape-Fixation der Kleinzehen wurde für 6 Wochen belassen; ab Woche 2 konsequente Abschwellmaßnahmen (Hochlagerung, Kühlung, Lymphdrainage nach Freigabe). Wundverschlüsse reizarm, Kontrollen engmaschig. Ein Übergang in Konfektionsschuhe erfolgte stufenweise nach klinischem Befund.
Verlauf / Ergebnisse
Im Röntgen zeigte sich eine stabile Fixierung des 1. Strahls mit korrekt platzierten Schrauben; an den Strahlen II–IV war die Zielverkürzung gut erkennbar.
Nach etwa 3 Monaten zeigte die Radiologie ein fortgeschrittenes knöchernes Durchbauungsstadium; klinisch waren die Zehen gerade, nebeneinander, ohne Konflikt. Die Patientin berichtete über deutliche Beschwerdelinderung, verbesserte Schuhfähigkeit und belastungsarmes Gehen. Der Ballen („Bunion“) war behoben, eine prominente Vorwölbung bestand nicht mehr.
Fazit
Der Hallux valgus ist nicht trivial: Häufig beeinflussen Mehrfaktoren das Ergebnis – u. a. Überlänge der Metatarsalia II–IV, Weichteilverkürzungen und der Leitlauf des 1. Strahls. Erfolgreiche Konzepte kombinieren Achskorrektur und Druckmanagement (inkl. gezielter Kurzkorrekturen der Mittelstrahlen), um Lastspitzen dauerhaft zu eliminieren. Werden diese Elemente nicht berücksichtigt, drohen Rezidive und Folgeprobleme. Dieser Fall unterstreicht die Bedeutung der erfahrenen operativen Planung und Durchführung in einem spezialisierten Zentrum, um stabile Achsen, schmerzarme Funktion und alltagstaugliche Schuhfähigkeit zu erreichen.
Ahmed Qretam
Dr.-medic Melanie Selle
Daniel Thriemer
Lorem ipsum dolor sit amet, consectetur adipiscing elit. Ut elit tellus, luctus nec ullamcorper mattis, pulvinar dapibus leo.
































