Zunehmende Schmerzen am Ballen, Konflikte im Schuh und eine sichtbar abweichende Großzehe: Dieser Patientenfall zeigt, wie man mit minimalinvasiven Techniken den Hallux valgus und daraus resultierende Fehlstellungen der Nachbarzehen zuverlässig und zugleich ästhetisch korrigieren.
Dieser Text wurde nach bestem Wissen und Gewissen nach aktuellem wissenschaftlichen Stand zu Aufklärungszwecken bereitgestellt. Er dient der medizinischen Aufklärung und nicht zur Selbstdiagnose. Er ersetzt keine Vorstellung bei einem Facharzt.
Inhaltsverzeichnis
Vorgeschichte
Die Patientin stellte sich mit über Monate zunehmenden Schmerzen über dem Großzehenballen vor. Konservative Maßnahmen wie Schienen, Bandagen und Einlagen führten nicht zu einer anhaltenden Linderung.
Im Verlauf verschoben sich die kleinen Zehen in Richtung der Großzehe, sodass es zu schmerzhaften Konflikten im Schuh kam. Aufgrund der persistierenden Beschwerden und der progredienten Deformität wurde die Indikation zur operativen Korrektur gestellt.
Was ist ein Hallux valgus?
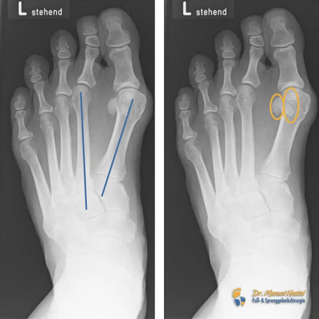
Der Hallux valgus (https://www.drnastai.de/minimalinvasive-hallux-valgus-operation/) ist eine Fehlstellung der Großzehe, bei der diese zunehmend zur Fußaußenseite abweicht. Gleichzeitig wölbt sich das Köpfchen des ersten Mittelfußknochens zur Fußinnenseite hervor (siehe Blaue Linie rechts). Diese Veränderung kann zu Schmerzen, Druckstellen und einer eingeschränkten Gehfähigkeit führen. Ursache sind häufig genetische Veranlagung, schwaches Bindegewebe oder ungeeignetes Schuhwerk. Anfangs kann die Fehlstellung mit Schienen oder Einlagen behandelt werden – bringt dies keine ausreichende Linderung, ist eine operative Korrektur notwendig. Dabei wird die Fehlstellung am Knochen selbst korrigiert. Besonders vorteilhaft sind minimalinvasive Methoden, bei denen über kleinste Schnitte gearbeitet wird, um die Funktion des Fußes wiederherzustellen – ohne große Narben oder lange Ausfallzeit.
Fehlstellung der kleinen Zehen infolge Hallux valgus
Ein fortgeschrittener Hallux valgus betrifft nicht nur die Großzehe, sondern stört die gesamte Statik im Vorfuß. Durch die Abweichung der Großzehe nach lateral erhöht sich der Druck auf die benachbarten Zehen – besonders auf den zweiten Zeh (siehe Orangene Linien auf entlang des zweiten Zehs links). Dieser wird zunehmend in Richtung der Großzehe gedrängt. Typisch ist die Digitus-secundus-supraductus-Fehlstellung: Der zweite Zeh liegt über dem Hallux, ist druckschmerzhaft und führt beim Gehen sowie in geschlossenem Schuhwerk zu deutlichen Beschwerden. Konservative Maßnahmen wie Schienen, Polster oder Zehenspreizer können Symptome zeitweise lindern, verhindern die Progression jedoch häufig nicht. Eine dauerhafte Lösung bietet die chirurgische Korrektur. In unserer Praxis erfolgt sie in der Regel minimalinvasiv: Über einen kleinen Zugang wird der betroffene Knochen neu ausgerichtet und in korrigierter Position stabilisiert.
Am zweiten Zeh setzen wir auf eine schonende Fixation mit Tape-Verbänden – ohne zusätzliche Drahtfixation. Ziel ist es, den natürlichen Fußaufbau wiederherzustellen und schmerzhafte Konflikte nachhaltig zu vermeiden.
Präoperativer Befund
Klinisch zeigte sich präoperativ eine deutliche Vorwölbung des ersten Mittelfußknochens nach medial mit rötlicher Hautirritation als Reibungszeichen im Schuh. Die Großzehe wich nach lateral ab; die kleinen Zehen waren nach medial verlagert. Besonders auffällig war eine Digitus‑secundus‑supraductus‑Fehlstellung, bei der der zweite Zeh über dem Hallux lag.
Diagnostik – Röntgen
Die belastete dorsoplantare Röntgenaufnahme zeigt die tatsächliche Stellung des Vorfußes unter Körpergewicht. So werden Achsenabweichungen sichtbar, die in unbelasteter Position oft unterschätzt werden. In deinem präoperativen Bild (siehe „Röntgen präoperativ“) ist der Intermetatarsalwinkel zwischen erstem und zweitem Strahl (IMR1, blau markiert) deutlich geöffnet; zugleich liegen die Sesambeine (orange markiert) exzentrisch seitlich des ersten Mittelfußkopfes. Die farbigen Markierungen (blau/orange) erleichtern Patient:innen das Verständnis für die Deformität und die Ziele der Korrektur.
IMR1 (blau) – was wird gemessen und warum ist das wichtig?
Der IMR1 beschreibt den Winkel zwischen den Längsachsen des ersten und zweiten Mittelfußknochens. Zur Messung werden auf der belasteten Aufnahme die Mittellinien beider Knochen eingezeichnet (jeweils durch den Schaft zur Mitte des Kopfes verlängert); der Winkel zwischen diesen Linien ist der IMR1. Ein vergrößerter IMR1 zeigt einen Metatarsus primus varus an—der erste Strahl steht zu weit nach medial, wodurch sich das Köpfchen des ersten Mittelfußknochens nach innen vorwölbt und die Großzehe nach lateral abweicht. In deinem präoperativen Bild ist dies an der breit geöffneten blauen Winkelmarkierung erkennbar (siehe „Röntgen präoperativ – IMR1 blau“). Ziel der Operation ist es, den IMR1 wieder in den physiologischen Bereich zu reduzieren. Auf dem postoperativen Bild sollte die blaue Winkelmarkierung deutlich kleiner sein (siehe „Röntgen postoperativ – IMR1 reduziert“), was die korrigierte Achsstellung des ersten Strahls belegt.
Sesambeine (orange) – Lage, Bedeutung und Beurteilung
Unter dem Kopf des ersten Mittelfußknochens liegen zwei kleine Knochen—das tibiale (mediale) und das fibulare (laterale) Sesambein. In einer physiologischen Stellung „umfassen“ sie den Mittelfußkopf von plantar, etwa beidseits der zentralen Führungsrinne. Beim Hallux valgus wandern die Sesambeine relativ zum Mittelfußkopf nach lateral. Radiologisch zeigt sich das daran, dass die orange markierten Sesambeine nicht mehr zentriert unter dem Kopf liegen, sondern seitlich „ausweichen“ (siehe „Röntgen präoperativ – Sesambeine orange“).
Diese Lateralisierung ist ein Schweregrad-Indikator und erklärt typische Beschwerden: Die Hebelverhältnisse der Großzehenbeugesehnen verändern sich, die Last verlagert sich ungünstig und es entstehen Druckschmerzen. Nach der Korrektur sollten die Sesambeine wieder mittig unter dem ersten Mittelfußkopf sichtbar sein (siehe „Röntgen postoperativ – zentrierte Sesambeine“). Die Re-Zentrierung ist prognostisch relevant: Sie stabilisiert die korrigierte Achse, verbessert die Lastverteilung im Vorfuß und senkt das Rezidivrisiko.
Therapie
Zur Korrektur des Hallux valgus erfolgte eine minimalinvasive Chevron‑Osteotomie (https://www.drnastai.de/projects-archive/minimalinvasive-chevron-akin-osteotomie/) am ersten Mittelfußknochen. Über kleinste Inzisionen wurde der Knochen mit einer Fräse durchtrennt, der Kopf nach medial verschoben und in korrigierter Stellung mittels Schraube stabilisiert. Die sekundäre Deformität des zweiten Zehs wurde ebenfalls minimalinvasiv korrigiert; anstelle einer Drahtfixation erfolgte die schonende Stabilisierung mit Tape‑Verbänden (Tape statt Akin). Dieses Vorgehen ermöglicht eine stabile Korrektur bei geringer Weichteilbelastung.
Ergebnisse & Verlauf
Der Eingriff wurde ambulant durchgeführt. Die Mobilisation begann unmittelbar postoperativ im Verbandschuh. Ein Nahtverschluss war nicht erforderlich; die Wunden wurden mit Pflasterstreifen verschlossen. Die Schmerzen waren gering und erforderten nur für 3–4 Tage eine analgetische Medikation. Eine Thromboseprophylaxe wurde für zwei Tage verordnet.
Nach sechs Wochen erfolgte der Übergang in normales Schuhwerk und die Rückkehr an den Arbeitsplatz.
Kontrollaufnahmen zeigten einen deutlich reduzierten IMR1‑Winkel, zentrierte Sesambeine und normalisierte Gelenkachsen siehe Röntgenaufnahme Vorher Nachher. Klinisch präsentierte sich der zweite Zeh gerade und konfliktfrei dokumentierten kaum sichtbare Narben bei nur geringer Restschwellung siehe Vorher Nachher Bilder unten.
Mehr Infos zur Methode
Frau Anna Peysang
Dr.-medic Melanie Selle
Lorem ipsum dolor sit amet, consectetur adipiscing elit. Ut elit tellus, luctus nec ullamcorper mattis, pulvinar dapibus leo.






























