Sie leiden unter einem Hallux valgus und haben Schmerzen beim Gehen oder Tragen geschlossener Schuhe? Vielleicht haben Sie schon über eine Operation nachgedacht, sind aber...
Distale Metaphysäre Metatarsale Osteotomie (DMMO)
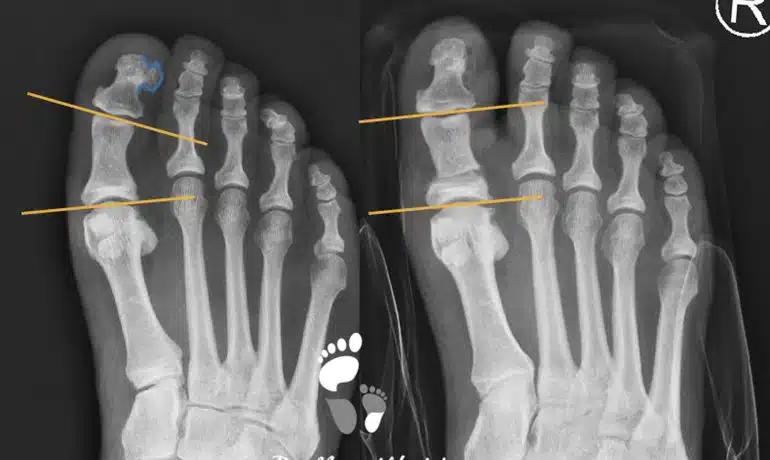
Diese Operationstechnik wird bei Metatarsalgie angewendet. Die Hauptindikationen sind eine Überlänge der Metatarsalia 2-4 (griechische Fußform) und eine Transfermetatarsalgie nach Hallux valgus-Korrektur.Im Prinzip werden durch...
Lapidus-Arthrodese mit plantarer Platte
Die Lapidus-Arthrodese ist eine operative Methode zur Korrektur der Hallux valgus Fehlstellung. Dies ist eine Technik mit dem größten Korrekturpotenzial und wird bei extremen Ausprägungen...
Minimalinvasive Akin-Osteotomie
Diese Operationstechnik wird zur Korrektur der Hallux valgus interphalangeus-Fehlstellung durchgeführt.Im Prinzip operiert man durch einen 0,2 cm langen Schnitt mit einem speziellen Instrumentarium (siehe Minimal...
Hallux valgus
Der Hallux valgus, besser bekannt als Ballenzeh, ist eine häufige orthopädische Fehlstellung, die oft Schmerzen und Schuhkonflikt verursacht. Diese Deformität, die durch eine seitliche Abweichung...

































