Der Hallux valgus, besser bekannt als Ballenzeh, ist eine häufige orthopädische Fehlstellung, die oft Schmerzen und Schuhkonflikt verursacht. Diese Deformität, die durch eine seitliche Abweichung der Großzehe charakterisiert ist, beeinträchtigt nicht nur die Ästhetik des Fußes, sondern kann auch funktionelle Beeinträchtigungen mit sich bringen. Der Hallux valgus entsteht durch verschiedene Faktoren, darunter genetische Veranlagung, falsches Schuhwerk hat eine geringere Rolle in der Entstehung. Dieser Artikel beleuchtet nicht nur die Ursachen und Symptome des Hallux valgus, sondern bietet auch Einblicke in präventive Maßnahmen sowie konservative und chirurgische Behandlungsoptionen,.

AUTOR
Dr.-medic Manuel Nastai
Fuß- und Sprunggelenkspezialist

Dieser Text wurde nach bestem Wissen und Gewissen nach aktuellem wissenschaftlichen Stand zu Aufklärungszwecken bereitgestellt. Er dient der medizinischen Aufklärung und nicht zur Selbstdiagnose. Er ersetzt keine Vorstellung bei einem Facharzt.

Inhaltsverzeichnis

Wie erkennt man ein Hallux valgus?

Wie sieht ein Hallux valgus aus? Wie weiß ich ob ich einen Hallux valgus bekomme?

Der Hallux valgus ist die häufigste Fehlstellung der Großzehe bzw. des ersten Strahls. Der erste Mittelfußknochen ist vom zweiten abgespreizt und wölbt sich nach innen vor. Dieser Ballen kann gerötet und geschwollen sein und Druckstellen oder Hühneraugen entwickeln. So entstehen die Begriffe Ballenzeh oder Spreizfuß.

Bei ausgeprägten Fehlstellungen ist die Großzehe auch verdreht. Der Nagel ist in diesen Fällen nach innenseitig gerichtet.

Eine weitere erkennbare Veränderung ist die Verschiebung der Großzehe in Richtung der benachbarten Zehen, was zu einer schiefen Ausrichtung des Fußes führt.

Warum entsteht der Hallux valgus?

Wie bekomt man einen Hallux valgus? Wie weiß ich ob ich einen Hallux valgus bekomme? Warum bekommt man einen Hallux valgus?

Es gibt mehrere Theorien bzgl. der Ursachen, eine davon ist die Hypermobilität des ersten Strahls (Vid.1 und 2). 

Video 1. Vertikale TMT 1-Instabilität bei ausgeprägtem Hallux valgus.

Video 2. Horizontale (1. Teil) und vertikale TMT 1-Instabilität (2. Teil).

Am leichtesten lässt sich dieses durch einen Vergleich des menschlichen mit dem Primaten-Fuß erklären. Der Affe kann mit dem Fuß greifen, weil seine Großzehe opponierbar ist. Das bedeutet, das erste Zehenwurzelgelenk (Tarsometatarsal-Gelenk, TMT) erlaubt eine Drehbewegung. Der menschliche Fuß hat diese Fähigkeit durch die Evolution verloren. Beim Menschen ist das Gelenk unter Belastung steif und dient lediglich der Gewichtsverlagerung.

Vergleich eines Gorilla-Fußes mit einem menschlichen Fuß mit Hallux valgus-Fehlstellung. © https://lmy.de/dKibV

Bei Füßen mit Hallux valgus blieb diese Fähigkeit mehr oder weniger erhalten. Also ist die Anfälligkeit zur Entwicklung des Hallux valgus angeboren. Bereits im Kindesalter kann diese Fehlstellung beobachtet werden. Die Fehlstellung wird auch vererbt. Man kann in manchen Familien diese Fehlstellung oft über Generationen beobachten.

Frauen sind deutlich häufiger davon betroffen (bis zu 15-mal mehr als Männer). Der Grund dafür konnte noch nicht geklärt werden.

Wie kann man den Hallux valgus verhindern?

Wie bereits beschrieben, ist die Anfälligkeit zur Entwicklung eines Hallux valgus angeboren. Die einzige Möglichkeit zur Vorbeugung wäre eine Aufhebung der Drehfähigkeit des Tarsometatarsal-Gelenks. Solche Möglichkeiten stehen aber leider nicht zur Verfügung. Bandagen, Orthesen oder Zehenspreizer können eine temporäre Linderung bewirken, können einen Hallux valgus jedoch nicht verhindern oder ein Fortschreiten der Fehlstellung stoppen.

Welche Beschwerden haben Patienten mit Hallux valgus?

Am häufigsten werden Schmerzen durch Reibung des vorgewölbten Ballens am Schuh beklagt. Es entstehen Druckstellen und manchmal Schleimbeutelentzündungen.

Durch die Fehlstellung wird die Gewichtsaufnahmefunktion des Fußes gestört. So bilden sich schmerzhafte Schwielen das Gewicht wird von den kleineren und dafür weniger geeigneten Strahlen getragen (med. Transfermetatarsalgie). Manchmal können sogar Ermüdungsbrüche entstehen.

Röttung über dem hervorragenden Ballen
Knöchern verheilte Ermüdungsfraktur des zweiten Mittelfußknochens bei Transfermetatarsalgie
Typische Schwielen bei Hallux valgus: am Großzehenballen (dünner Pfeil) und unter dem 2. und 3. Ballen aufgrund der Transfermetatarsalgie (dicker Pfeil).
Sekundäre Fehlstellungen der kleinen Zehen bei Hallux valgus
Hammerzehe D2 und Knopflochfehlstellung D3
Reiterzehe D2
Hammerzehe D2

Die nach außen gerichtete Großzehe zwingt die kleinen Zehen in die Beugung und so entwickeln sich mit der Zeit Krallen- und Hammerzehen. Die zweite Zehe wird nach oben gedrängt, unter dem ständigen Druck können die Bänder des Grundgelenkes reißen (Ruptur der plantaren Platte). Dadurch kugelt das Gelenk aus und die zweite Zehe wandert nach innen (sog. Reiterzehe oder Digitus secundus superductus). Alle diese Fehlstellungen bereiten den Patienten große Schmerzen.

Welche Untersuchungen sind bei Hallux valgus notwendig?

Zur Diagnosestellung benötigt man lediglich eine klinische Untersuchung. Ein erfahrener Untersucher gewinnt hierbei wichtige Informationen über das Ausmaß der Fehlstellung, die Beweglichkeit des Großzehengrundgelenkes und ggf. Zeichen der Arthrose, die Überbeweglichkeit des ersten Strahls, Kleinzehenfehlstellungen. Außerdem erhält man durch die klinische Untersuchung wichtige Informationen über eine eventuelle Operation: die Qualität der Durchblutung, Zeichen für Empfindungsstörungen (Polyneuropathie), Fehlstellungen des Rückfußes (z.B. Knick-Senkfuß, Achillessehnenverkürzung usw.).

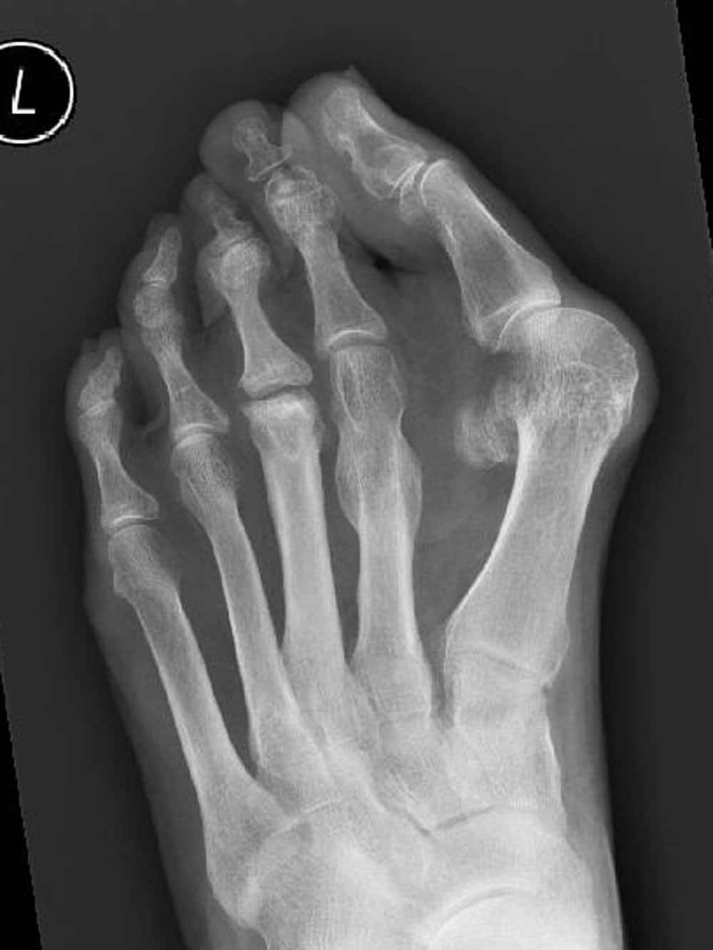
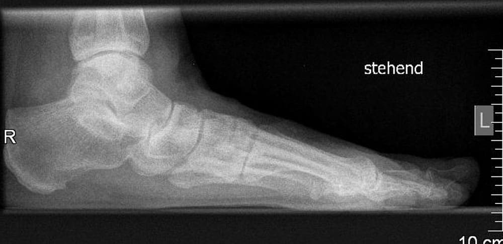
Eine Röntgen-Untersuchung des Fußes unter Belastung (im Stehen) gibt weitere wichtige Informationen zur Wahl der Operationsmethode. Eine gleichzeitige Großzehengrundgelenksarthrose ändert z.B. vollständig die Vorgehensweise. Verschiedene Winkel werden auf dem Röntgenbild gemessen, um das Ausmaß der Fehlstellung festzustellen. Dementsprechend können dann die operativen (invasiven) Techniken z.B. für einen schweren Hallux valgus angepasst werden. Das Vorhandensein eines Knick-Senkfußes muss auch in die operative Strategie mit einbezogen werden, dieser macht eine Korrektur notwendig.

Röntgen-Bild mit ausgeprägtem Hallux valgus. Man sieht eine Luxation des zweiten Grundgelenkes sowie eine Arthrose im Mittelfußbereich.
Die seitliche Röntgen-Aufnahme bildet eine Knick-Senkfuß-Fehlstellung ab. Dieses ist eine wichtige Information zur operativen Vorgehensweise.

Welche konservativen Behandlungen stehen für Hallux valgus zur Verfügung?

Das Tragen von Schuhen, die dem Fuß ausreichend Platz bieten, reduziert die Reibung. Ebenfalls können Silikonzehenspreizer angefertigt werden, hierdurch die krummen Zehen in eine Silikonmasse gebettet und sind vor Reibung geschützt. Selbstverständlich korrigieren diese aber nicht die Fehlstellung.

Silikon-Zehenspreizer bei Hallux valgus
Hallux valgus Orthese

Nachtlagerungsschienen, Bandagen oder Orthesen halten die Großzehe gerade, jedoch werden diese als unangenehm empfunden und daher selten toleriert. Auch diese korrigieren die Fehlstellung nicht.

Die Transfermetatarsalgie kann durch angefertigte Schuheinlagen gelindert werden. Hierbei werden die kleinen Mittelfußköpfchen durch eine sogenannte retrokapitale Stufenbettung oder Pelotte angehoben und der Untergrund durch eine Weichbettung erweicht.

Verschiedene physiotherapeutische Behandlungen v.A. die sog. Spiraldynamik haben gute Ergebnisse gezeigt.  Eine eingeschränkte Verfügbarkeit geschulter Therapeuten ist leider ein großes Hindernis. Hier sind jedoch noch mehr Studien notwendig, um den Stellenwert dieser Methode festzulegen.

Welche Hallux valgus Ops werden durchgeführt?

Eine operative Versorgung ist der einzige Weg, die Fehlstellung dauerhaft zu korrigieren und die Schmerzen dauerhaft zu lindern. Es wurden bisher über 100 Operationstechniken beschrieben. Jahrelange Erfahrung durch über 1000 Korrekturen erlaubte die Entwicklung eines Indikationsalgorithmus zum Erreichen der besten Ergebnisse.

In unserer Klinik wird der Hallux valgus nur bei Erwachsenen operiert. Bei heranwachsenden Kindern ist die Rezidivrate viel zu hoch.

Es werden möglichst alle Fehlstellungen in einer Operation korrigiert. So werden Kleinzehenfehlstellungen adressiert (s. minimalinvasive Kleinzehenkorrektur) und ebenfalls relevante Rückfußdeformitäten.

Alle Hallux valgus-Operationen werden durch Knochenumstellungen (med. Osteotomie) korrigiert. Eine alleinige weichteilige Korrektur ist nicht ausreichend, die Großzehe gerade zu halten.

In unserem Fußzentrum wird ein Hallux valgus aller Schwierigkeitsgrade minimalinvasiv korrigiert (s. minimalinvasive Chevron/Akin-Osteotomie, MICA). Andere häufig verwendete und unserer Meinung nach selten nötige Verfahren sind die offene distale Osteotomie (Austin/Chevron), die Lapidus-Arthrodese sowie die basisnahe Umstellung. Bei langjähriger Fehlstellung verschleißt das Gelenk. In diesem Fall kann nur die Großzehengrundgelenksversteifung (med. Arthrodese) eine Linderung der Schmerzen bringen.

Minimal invasive Operation: Chevron-/Akin-Osteotomie
Lapidus-Arthrodese
Großzehengrundgelenk-Versteifung bei Hallux valgus mit Arthrose

Wie sind die Ergebnisse nach Hallux valgus Korrektur?

Kann sich die Fehlstellung nach der Operation zurückbilden? 

Das häufigste Problem nach Hallux valgus-Korrekturen ist eine Rückkehr der Fehlstellung (med. Hallux valgus Rezidiv). Dieses ist in den meisten Fällen abhängig vom Operateur bzw. von der Wahl der OP-Methode und deren technischer Durchführung. Die Rezidivrate erreicht in manchen nicht spezialisierten Einrichtungen bis zu 30-50%.

Durch die Wahl einer geeigneten Operationsmethode und korrekter Durchführung kann eine komplette Korrektur in über 95% der Fälle dauerhaft erreicht werden.

Das unmittelbare postoperative Ergebnis kann sich noch in einem geringen Ausmaß im ersten Jahr nach der Operation verändern, die Großzehe kann z.B. leicht nach außen (ca. 5°) wandern.

Werde ich die Großzehe danach normal bewegen können?

Eine gewisse Bewegungseinschränkung des Großzehengrundgelenkes kann nach Hallux valgus Korrekturen bestehen. Offene Korrekturen im Gelenk führen zu Vernarbungen oder manchmal zur Beschädigung des Gelenkes und verursachen eine Gelenksteife. Bei sorgfältiger Operationstechnik ist diese aber klinisch nicht relevant. Bei minimalinvasiven Korrekturen wird die Operation außerhalb des Gelenkes durchgeführt, demzufolge bleibt das Gelenk beweglich.

Vid.1: Beweglichkeit des Großzehengrundgelenks 12 Monate nach Hallux valgus-Korrektur durch Lapidus-Arthrodese. Das Video wurde während der Vorstellung zur Planung der Korrektur des anderen Fußes aufgenommen.

Kann man die Operation beidseits durchführen?

Eine gleichzeitige Versorgung beider Füße kann bei minimalinvasiver Technik durchgeführt werden. Man muss einerseits zwar mit einer leicht längeren Genesungszeit rechnen, andererseits bedeutet das für den Patienten aber nur eine Narkose und nur eine Ausfallzeit.

In welchem Abstand kann man den anderen Fuß operieren?

Bei zweizeitigen Korrekturen der beiden Füßen empfehlen wir die zweite Operation dann durchzuführen, wenn der erste Fuß komplett geheilt ist und keine Probleme (z.B. Schwellung) mehr bereitet. Die meisten Patienten wünschen dies nach ca. einem Jahr. Sie möchten zunächst wieder Arbeiten gehen und den Eingriff durchführen lassen, wenn es die berufliche Situation wieder erlaubt.

Wenn es sich um sehr ausgeprägt schmerzhafte Fehlstellungen handelt, kann nach ca. 12 Wochen die zweite Operation erfolgen.

Fallbeispiele für Hallux valgus-Korrekturen

Häufige Fragen (FAQ)

Was ist der Unterschied von Hallux valgus und rigidus?

Hallux Valgus und Hallux Rigidus sind zwei verschiedene Erkrankungen im Bereich des Großzehs, die unterschiedliche Probleme und Symptome aufweisen:

Hallux Valgus:

  1. Definition: Hallux Valgus ist eine Deformität, bei der der Großzeh in Richtung der anderen Zehen abweicht. Es ist oft begleitet von einer Ausbildung eines Ballenzapfens (Exostose) am inneren Gelenk des Großzehs.
  2. Ursachen: Die häufigste Ursache für Hallux Valgus ist genetische Veranlagung. Enges Schuhwerk, insbesondere hohe Absätze, kann das Risiko erhöhen oder die Deformität verschärfen.
  3. Symptome: Zu den Symptomen gehören Schmerzen, eine sichtbare Deformität, Rötung und Schwellung im Bereich des Ballenzapfens. Der Großzeh kann über oder unter die anderen Zehen rutschen.
  4. Behandlung: Konservative Maßnahmen umfassen das Tragen geeigneter Schuhe, orthopädische Einlagen und physikalische Therapie. In einigen Fällen kann eine operative Korrektur notwendig sein.

 

Hallux Rigidus:

  1. Definition: Hallux Rigidus ist eine Form von Arthrose im Großzehengrundgelenk, bei der der Knorpel im Gelenk abbaut. Dies führt zu einer Steifigkeit und eingeschränkten Beweglichkeit im Großzehengrundgelenk.
  2. Ursachen: Die genaue Ursache von Hallux Rigidus ist nicht immer klar, kann aber mit einer Überlastung des Großzehengrundgelenks, Verletzungen oder genetischer Veranlagung in Verbindung stehen.
  3. Symptome: Zu den Symptomen gehören Schmerzen, Schwellungen, Steifigkeit und eine eingeschränkte Beweglichkeit im Großzehengrundgelenk. Die Symptome können mit der Zeit fortschreiten.
  4. Behandlung: Konservative Ansätze umfassen angepasstes Schuhwerk, orthopädische Einlagen, physikalische Therapie und medikamentöse Behandlung. In fortgeschrittenen Fällen kann eine Operation in Erwägung gezogen werden.

Zusammengefasst sind Hallux Valgus und Hallux Rigidus unterschiedliche Erkrankungen, wobei Hallux Valgus eine Deformität mit seitlicher Abweichung des Großzehs ist, während Hallux Rigidus eine Arthrose des Großzehengrundgelenks mit Steifigkeit und eingeschränkter Beweglichkeit darstellt.

Welcher Arzt ist für Hallux zuständig?

Für die Behandlung von Hallux valgus ist ein Orthopäde, ein Fußspezialist oder ein Fußchirurg, der geeignete Ansprechpartner. Hier sind einige Fachärzte, die sich mit Hallux valgus befassen:

1. Orthopäde: Ein Orthopäde ist ein Arzt, der sich auf die Diagnose und Behandlung von Erkrankungen des Bewegungsapparats, einschließlich der Füße, spezialisiert hat. Orthopäden können konservative Maßnahmen, physikalische Therapie und gegebenenfalls chirurgische Eingriffe empfehlen.

2. Fußchirurg: Ein Fußchirurg ist speziell auf die Behandlung von Fußproblemen, einschließlich Hallux valgus, ausgerichtet. Bei Bedarf kann ein Fußchirurg chirurgische Optionen zur Korrektur der Deformität anbieten.

3. Podologe (medizinischer Fußpfleger): Ein Podologe ist kein Arzt, sondern ein ausgebildeter Fachmann, der sich mit einigen Fußprobleme befasst. Hierzu zählen eingewachsene Zehennägel, Hornhautabtragung. Podologen können Einlagen empfehlen, physikalische Therapie durchführen und Ratschläge zur Fußpflege geben. Sie können auch Fälle erkennen, die eine chirurgische Intervention erfordern und durch Netzwerking einen geeigneten Operateur empfehlen oder vermitteln.

Wie viele Frauen haben Hallux valgus?

Hallux valgus ist bei Frauen häufiger anzutreffen als bei Männern. Statistiken variieren, aber es wird geschätzt, dass Hallux valgus etwa 23% bis 35% der erwachsenen Bevölkerung betrifft. Der Zustand tritt häufiger im mittleren und fortgeschrittenen Alter auf, und die Prävalenz steigt mit zunehmendem Alter.

Die genauen Zahlen können je nach Studie, geografischer Region und den verwendeten diagnostischen Kriterien variieren. Es ist wichtig zu beachten, dass genetische Faktoren eine Rolle spielen können, da Menschen, deren Familienmitglieder Hallux valgus haben, möglicherweise ein höheres Risiko für die Entwicklung dieser Fußdeformität haben.

Frauen sind aufgrund von anatomischen und hormonellen Unterschieden anfälliger für Hallux valgus. Faktoren wie das Tragen von engem Schuhwerk, besonders mit hohen Absätzen, können das Risiko weiter erhöhen.

Was sind die besten Schuhe bei Hallux valgus?

Die besten Schuhe bei Hallux valgus sind solche, die den Druck auf den Vorfuß reduzieren, ausreichend Platz für die Zehen bieten und die natürliche Fußmechanik unterstützen. Hier sind einige Merkmale, die bei der Auswahl geeigneter Schuhe für Menschen mit Hallux valgus wichtig sind:

  1. Breite Zehenbox: Wählen Sie Schuhe mit einer breiten Zehenbox, die ausreichend Platz für die Zehen bieten. Dies hilft, Druck auf den Hallux valgus zu reduzieren und ermöglicht eine natürlichere Zehenposition.
  2. Geringe Sprengung: Schuhe mit einer geringen Sprengung (Differenz zwischen Fersen- und Zehenhöhe) können den Druck auf den Vorfuß verringern und die Belastung des Hallux valgus minimieren.
  3. Flexible Sohle: Eine flexible Sohle erlaubt eine natürliche Fußbewegung und fördert die Stärkung der Fußmuskulatur.
  4. Gepolsterte Innensohle: Eine leicht gepolsterte Innensohle kann dazu beitragen, Stöße zu absorbieren und den Komfort zu erhöhen, insbesondere wenn Schmerzen vorhanden sind.
  5. Verstellbare Verschlüsse: Schuhe mit verstellbaren Verschlüssen, wie Klettverschlüssen oder Schnürsenkeln, ermöglichen eine individuelle Anpassung und bieten eine bessere Unterstützung.
  6. Weiches Obermaterial: Ein weiches und dehnbares Obermaterial kann Druckstellen verhindern und den Tragekomfort erhöhen.
  7. Orthopädische Einlagen: In einigen Fällen können individuell angepasste orthopädische Einlagen sinnvoll sein, um die Fußmuskulatur zu unterstützen und die Ausrichtung zu verbessern.

Sind barfußschuhe gut bei Hallux valgus?

Barfußschuhe können in einigen Fällen für Menschen mit Hallux valgus geeignet sein. Hier sind einige Vorteile:

  1. Breiten Zehenbox: Barfußschuhe mit einer breiten Zehenbox bieten ausreichend Platz für die Zehen, was den Druck auf den Hallux valgus reduzieren kann. Dies ermöglicht eine natürlichere Zehenposition.
  2. Flexibles Sohlenmaterial: Eine flexible Sohle erlaubt eine natürliche Bewegung des Fußes und fördert die Stärkung der Fußmuskulatur.
  3. Geringe Sprengung:** Barfußschuhe haben oft eine geringe oder keine Sprengung (Differenz zwischen Fersen- und Zehenhöhe). Eine geringe Sprengung kann dazu beitragen, den Druck auf den Vorfuß zu minimieren.
  4. Leichtgewicht: Leichte Barfußschuhe können die Belastung des Fußes reduzieren und ein angenehmes Laufgefühl bieten.

Trotz dieser potenziellen Vorteile ist es wichtig zu betonen, dass nicht alle Menschen mit Hallux valgus die gleiche Reaktion auf Barfußschuhe haben. Einige finden möglicherweise Linderung, während andere möglicherweise Beschwerden erfahren.

Was Vermeiden bei Hallux valgus?

Menschen mit Hallux valgus sollten bestimmte Aktivitäten und Gewohnheiten vermeiden, um die Symptome zu lindern und das Fortschreiten der Deformität zu minimieren. Hier sind einige Dinge, die vermieden werden sollten:

  1. Enges Schuhwerk: Tragen Sie keine engen oder spitzen Schuhe, insbesondere solche mit hohen Absätzen. Schuhe mit einer breiten Zehenbox bieten mehr Platz für die Zehen und reduzieren den Druck auf den Hallux valgus.
  2. Hohe Absätze: Vermeiden Sie Schuhe mit hohen Absätzen, da sie den Druck auf den Vorfuß erhöhen können.
  3. Barfußlaufen auf harten Oberflächen: Gehen Sie nicht barfuß auf harten Oberflächen, da dies zusätzlichen Druck auf die Fußmuskulatur und den Vorfuß ausüben kann.
  4. Langes Stehen oder Gehen: Vermeiden Sie längeres Stehen oder Gehen, insbesondere auf harten Untergründen, um die Belastung des Vorfußes zu minimieren.
  5. Übergewicht: Ein gesundes Gewicht zu halten, kann den Druck auf die Füße verringern und die Beschwerden reduzieren.
  6. Falsche Schuheinlagen: Vermeiden Sie selbstständig gewählte Einlagen ohne professionelle Beratung. Einlagen sollten individuell angepasst und von einem Arzt empfohlen werden.

Welche Zehengymnastik bei Hallux?

Zehengymnastik kann eine sinnvolle Ergänzung bei der Behandlung von Hallux valgus sein, indem sie dazu beiträgt, die Fußmuskulatur zu stärken und die Beweglichkeit der Zehen zu verbessern. Hier sind einige Zehengymnastikübungen, die bei Hallux valgus hilfreich sein können:

Zehen spreizen und zusammenführen:
– Setzen Sie sich auf einen Stuhl und legen Sie Ihre Füße flach auf den Boden.
– Spreizen Sie die Zehen so weit wie möglich auseinander und halten Sie sie für einige Sekunden in dieser Position.
– Führen Sie dann die Zehen wieder zusammen und wiederholen Sie die Übung.

Handtuch greifen:
– Legen Sie ein Handtuch auf den Boden und versuchen Sie, es mit den Zehen aufzuheben, indem Sie es kräuseln.
– Halten Sie das Handtuch für einige Sekunden in der angehobenen Position und wiederholen Sie die Übung.

Zehen kringeln:
– Heben Sie Ihre Füße an und kringeln Sie Ihre Zehen, als ob Sie versuchen würden, einen Stift mit den Zehen zu greifen.
– Halten Sie die Position für einige Sekunden und entspannen Sie dann die Zehen.

Zehenstreckung:
– Stellen Sie sich aufrecht hin und heben Sie die Zehen vom Boden ab.
– Versuchen Sie, die Zehen so weit wie möglich zu strecken.
– Halten Sie die gestreckte Position für einige Sekunden und entspannen Sie dann die Zehen.

Auf Zehenspitzen gehen:
– Gehen Sie einige Minuten pro Tag auf den Zehenspitzen, um die Muskulatur zu aktivieren und die Fußmuskulatur zu stärken.

Es ist wichtig, diese Übungen regelmäßig durchzuführen, um ihre volle Wirkung zu entfalten.

Ist Barfußlaufen bei Hallux valgus gesund?

Barfußlaufen kann in einigen Fällen bei Hallux valgus von Vorteil sein, aber es hängt von der individuellen Situation und dem Schweregrad der Deformität ab. Hier sind einige Vorteile:

  1. Barfußlaufen kann die Fußmuskulatur stärken und die propriozeptiven Fähigkeiten verbessern. Dies kann dazu beitragen, die Stabilität des Fußes zu erhöhen.
  2. Natürliche Fußbewegungen: Das Barfußlaufen ermöglicht natürliche Fußbewegungen und fördert eine gesunde Fußmechanik, die bei der Vorbeugung von zusätzlichen Problemen helfen kann.
  3. Einige Menschen mit Hallux valgus passen ihr Gangbild an, um den Schmerzen zu entgehen. Barfußlaufen kann dazu beitragen, dass sich das Gangbild natürlich anpasst und möglicherweise den Druck auf den Hallux valgus verringert.

Welche Salbe hilft bei Hallux?

Es gibt verschiedene Salben, die zur Linderung von Symptomen im Zusammenhang mit Hallux valgus verwendet werden können. Es ist jedoch wichtig zu beachten, dass diese Produkte in der Regel darauf abzielen, Schmerzen, Entzündungen und Schwellungen zu reduzieren, nicht jedoch die strukturelle Deformität des Hallux valgus zu korrigieren. Hier sind einige Arten von Salben, die in Betracht gezogen werden können:

  • Entzündungshemmende Salben: Salben mit entzündungshemmenden Wirkstoffen wie Ibuprofen oder Diclofenac können Schmerzen und Entzündungen lindern.
  • Salben mit kühlendem Effekt: Produkte mit kühlenden Inhaltsstoffen wie Menthol oder Kampfer können vorübergehend Schmerzlinderung bieten.
  • Arnika-Salben: Arnika wird manchmal in Salben verwendet, um Schwellungen und Blutergüsse zu reduzieren. Es gibt jedoch keine wissenschaftlichen Beweise für die Wirksamkeit von Arnika bei Hallux valgus.
  • Salben mit Capsaicin: Capsaicin, das in Chili-Pfeffer vorkommt, kann schmerzlindernde Eigenschaften haben und in einigen Salben enthalten sein.

In welchem Alter bekommt man Hallux?

Hallux valgus kann Menschen jeden Alters betreffen, oft bereits im Kindesalter. Die meisten Menschen entwickeln Hallux valgus Symptome zwischen dem mittleren Erwachsenenalter und dem fortgeschrittenen Alter. Frauen sind dabei häufiger betroffen als Männer.

Einige Faktoren können das Risiko für die Entwicklung eines Hallux valgus erhöhen, darunter:

  1. Genetik: Es gibt eine genetische Komponente, und Menschen, deren Familienmitglieder Hallux valgus hatten, haben möglicherweise ein höheres Risiko.
  2. Schuhwerk: Enges und spitzzulaufendes Schuhwerk, insbesondere mit hohen Absätzen, beschleunigt die Entwicklung von Symptomen.
  3. Fußfittness: Eine untrainierte Fußmuskulatur können die Symptomenentwicklung fördern.
  4. Alter: Mit zunehmendem Alter steigt das Risiko für Hallux valgus Symptome.
  5. Frauengeschlecht: Frauen sind häufiger von Hallux valgus betroffen als Männer.

Sind Einlagen bei Hallux valgus sinnvoll?

Einlagen können bei Hallux valgus in bestimmten Fällen sinnvoll sein, um die Symptome zu lindern und die Fußausrichtung zu unterstützen. Hier sind einige mögliche Vorteile von Einlagen bei Hallux valgus:

  1. Druckverteilung: Speziell angepasste Weichbettungseinlagen können dazu beitragen, den Druck auf den Fußballen zu verteilen und so die Belastung auf die Großzehe zu reduzieren.
  2. Stütze für den Fußgewölbe: Einlagen können das Fußgewölbe unterstützen und so die allgemeine Stabilität des Fußes verbessern.

Es ist wichtig zu beachten, dass Einlagen nicht in jedem Fall gleich wirksam sind und dass ihre Effektivität von der individuellen Fußanatomie, dem Schweregrad des Hallux valgus und anderen Faktoren abhängt. Einlagen sollten individuell angepasst sein, um die spezifischen Bedürfnisse des Patienten zu berücksichtigen. Sie können Teil eines umfassenden Behandlungsansatzes sein, der auch Schuhempfehlungen, Physiotherapie und gegebenenfalls andere konservative Maßnahmen umfasst.

Was bringen Zehenspreizer bei Hallux?

Zehenspreizer sind kleine Vorrichtungen, die zwischen die Zehen platziert werden, um den Zwischenraum zu erweitern und die Zehen voneinander zu trennen. Bei Hallux valgus können Zehenspreizer verschiedene Vorteile bieten:

  1. Druckentlastung: Zehenspreizer können dazu beitragen, den Druck auf die Großzehe zu verringern, insbesondere wenn sie sich bereits in Richtung der anderen Zehen neigt. Dies kann Schmerzen und Beschwerden reduzieren.
  2. Ausrichtung der Zehen:** Durch das Trennen der Zehen können Zehenspreizer dazu beitragen, die Ausrichtung der Zehen zeitweise zu verbessern.

Ist eine Hallux Schiene sinnvoll?

Eine Hallux-Schiene oder auch Nachtschiene ist eine Vorrichtung, die nachts getragen wird, um die Großzehe in eine verbesserte Position zu halten. Der Gedanke hinter dieser Schiene ist, den Druck auf den Ballen zu reduzieren und die Fehlstellung zu korrigieren oder zumindest zu verlangsamen. Hier sind einige Überlegungen zur Verwendung einer Hallux-Schiene:

  • In den frühen Stadien: Bei leichteren Hallux-valgus-Symptomen und in den frühen Stadien der Deformität können durch konsequentes Tragen einer Hallux-Schiene die Symptome zu verbessern. Eine Korrektur der Fehlstellung oder Stoppen der Fehlstellungsprogression kann nicht erreicht werden. Die Wirksamkeit von Hallux-Schienen kann von Person zu Person unterschiedlich sein. Manche Patienten berichten über eine Linderung von Schmerzen und eine Verbesserung der Symptome, während andere möglicherweise weniger positive Ergebnisse erzielen oder gar diese nicht vertragen.
  • In fortgeschrittenen Stadien: Bei ausgeprägtem Hallux valgus üben Schienen und Orthesen selber zu viel Druck und werden als unangenehm empfunden.

Im Allgemeinen kann man jedoch erklären, dass Hallux valgus-Bandagen, -Schienen oder -Orthesen nicht nachteilig sind und auf jeden Fall vor einer Operation ausprobiert werden können und sollen.

Welcher Sport bei Hallux valgus?

Bei Hallux valgus ist es wichtig, Sportarten zu wählen, die die Fußgesundheit fördern und den Druck auf die Großzehe minimieren. Hier sind einige Sportarten, die in der Regel als fußfreundlich gelten:

  1. Schwimmen: Eine hervorragende Sportart, da sie den gesamten Körper trainiert, ohne den Fuß übermäßig zu belasten. Der Wasserwiderstand fördert die Muskelstärkung.
  2. Radfahren: Dies ist eine gelenkschonende Sportart, die den Druck auf die Füße reduziert. Achten Sie darauf, dass Ihre Radposition und Schuhe gut eingestellt sind, um unnötigen Druck zu vermeiden.
  3. Wandern: In geeigneten Schuhen und auf weichen Untergründen kann Wandern eine gute Möglichkeit sein, die allgemeine Fitness zu verbessern.
  4. Wassergymnastik: Durchführung von Übungen im Wasser kann die Muskulatur stärken und den Druck auf die Gelenke reduzieren.
  5. Yoga: Viele Yoga-Übungen können ohne übermäßige Belastung der Füße durchgeführt werden. Es fördert Flexibilität und Stabilität.
  6. Golf: Eine Sportart, die geringe Erschütterungen und Belastungen auf die Füße ausübt, insbesondere wenn Sie einen Golfwagen verwenden.
  7. Krafttraining: Gezieltes Krafttraining für die Bein- und Fußmuskulatur kann die Stabilität verbessern und den Fuß unterstützen.

Kann Hallux valgus weg trainiert werden?

Während gezieltes Training und Übungen die Muskulatur im Fuß stärken können und in gewissen Fällen die Symptome reduzieren können, ist es wichtig zu verstehen, dass ein bereits bestehender Hallux valgus normalerweise nicht durch Training allein korrigiert werden kann.

Fußübungen können jedoch dazu beitragen, die Muskeln rund um den Fuß zu stärken und die allgemeine Stabilität zu verbessern. Dies kann dazu beitragen, zusätzlichen Druck auf den Hallux valgus zu reduzieren und die Beschwerden zu mildern. Zu den Übungen gehören das Greifen von Gegenständen mit den Zehen, das Aufheben von kleinen Bällen mit den Füßen und das Dehnen der Zehenmuskulatur.

Es ist wichtig zu beachten, dass die Effektivität von Übungen stark von der individuellen Situation abhängt. In einigen Fällen, insbesondere in den frühen Stadien des Hallux valgus, können gezielte Übungen in Verbindung mit anderen konservativen Maßnahmen wie dem Tragen von geeignetem Schuhwerk und Einlagen hilfreich sein. Bei fortgeschrittenen Fällen ist jedoch oft eine operative Korrektur notwendig sein, um die Fehlstellung zu adressieren.

Was tun gegen Hallux ohne OP?

Wenn die genetische Veranlagung für Hallux valgus besteht, kann man wenig tun, um die Fehlstellung zu vermeiden oder die Progression zu stoppen.

  1. Schuhe: Es empfiehlt sich das Tragen von bequemen Schuhen mit ausreichend hohem und breitem Zehenraum sowie flachen Absätzen. Vermeiden Sie enge, spitze Schuhe, die den Druck auf den Ballen erhöhen können.
  2. Schuheinlagen: spezielle Weichbettungseinlagen können helfen, den Druck unter dem Vorfuß gleichmäßig zu verteilen und eine Transfermetatarsalgie zu vermeiden.
  3. Fußgymnastik: Durch gezielte Übungen zur Stärkung der Fußmuskulatur können Sie die Stabilität verbessern und die Symptome reduzieren. Dazu gehören das Greifen von Gegenständen mit den Zehen und das Rollen eines Golfballs unter dem Fuß.
  4. Physiotherapie: Ein Physiotherapeut kann Ihnen Übungen und Techniken zur Verbesserung der Fußmuskulatur und -ausrichtung empfehlen. Ein hilfreicher Therapieansatz ist die Spiraldynamik.
  5. Gewichtskontrolle: Ein gesundes Gewicht zu halten, kann den Druck auf die Füße reduzieren und die Symptome erleichtern.

Kann ich Hallux valgus selbst behandeln?

Die Selbstbehandlung eines Hallux valgus kann in den Anfangsstadien der Deformation zur Linderung von Symptomen und zur Verlangsamung des Fortschreitens beitragen. Tragbares Schuhwerk mit ausreichend Platz für die Zehen und flachen Absätzen kann den Druck auf den Ballen reduzieren. Spezielle Einlagen können unterstützen und die Ausrichtung der Zehe verbessern. Fußgymnastik, einschließlich Zehenübungen und das Aufheben von Gegenständen mit den Zehen, kann die Muskulatur stärken.

Die Anwendung von Eis kann Schmerzen und Entzündungen vorübergehend lindern. Gewichtskontrolle ist wichtig, um den Druck auf die Füße zu reduzieren.

Was passiert wenn man Hallux valgus nicht behandelt?

Wenn ein symptomatischer Hallux valgus unbehandelt bleibt, kann dies zu einer Verschlechterung der Symptome und zu langfristigen Komplikationen führen. Die Deformation der Großzehe kann fortschreiten, was zu einer weiteren Verschiebung der Zehe in Richtung der anderen Zehen führt. Dies kann nicht nur kosmetisch störend sein, sondern auch zu Schmerzen, Entzündungen und Schwellungen im Bereich des Ballens führen.

Die Fehlstellung des Hallux valgus kann zu einer ungleichmäßigen Verteilung des Körpergewichts auf den Fuß führen, was wiederum zu Problemen wie Überlastung anderer Zehen und Gelenke führen kann. Dies kann zu weiteren schmerzhaften Erkrankungen wie Hammerzehen, Metatarsalgie und Arthrose führen.

Langfristig kann die unbehandelte Deformation auch die Gangart beeinträchtigen und zu Haltungsproblemen führen. In einigen Fällen kann es zu chronischen Schmerzen und einer eingeschränkten Mobilität kommen, die die Lebensqualität erheblich beeinträchtigen.

Kann sich ein Hallux valgus wieder zurückbilden?

In den frühen Stadien des Hallux valgus kann man ggf. durch Bewegungsübungen sowie Stärkung der Fußmuskulatur die Progression der Fehlstellung bremsen. Es gibt keine palpable Nachweise, dass  Hilfsmittel, wie Bandagen, Orthesen oder Schienen hilfreich zu diesem Ziel wären.

Nimmt im Alter der Hallux valgus zu?

Ja, die Fehlstellung nimmt mit der Zeit zu. Die Großzehe schiebt sich weiter in Richtung der kleinen Zehen und führt zu Kleinzehenfehlstellungen (Krallen- oder Hammerzehen). Durch die Verkrümmung des ersten Strahls wird das Gewicht unphysiologisch auf die kleinen Strahlen übertragen und es werden Schmerzen (med. Transfermetatarsalgie) verursacht.

Welcher Arzt für Hallux valgus?

Am Besten ein/e Fußspezialist|n oder ein Fußchirurg|n, welcher in der Regel ein Facharzt für Orthopädie und Unfallchirurgie ist. Auch manche „alte Chirurgen“ (Facharzt für Chirurgie) oder eine/n Facharzt|n für plastische und ästhetische Chirurgie beschäftigen sich mit der Fußchirurgie.

Für eine Hallux valgus Korrektur benötigt man Kenntnisse in der Anatomie, Physiologie und Physiopathologie des Bewegungsapparates (Knochen, Gelenke, Sehnen und Bänder). Die Weiterbildung zum Facharzt für Orthopädie und Unfallchirurgie beinhaltet dies im Curriculum. Arzte, die sich speziell für das Gebiet Fuß- und Sprunggelenkschirurgie interessieren, bilden sich in speziellen Weiterbildungsprogramme fort. Solche Weiterbildung in der Fußchirurgie wird durch Zertifikate bestätigt. Hiermit wird bestätigt, dass der Inhaber eine bestimmte Anzahl an Kurse teilgenommen hat und eine bestimmte Erfahrung mit Krankheiten und Operationen aus diesem gebiet nachgewiesen hat. Solche Zertifikate werden von beiden deutschen Gesellschaften für Fuß und Sprunggelenkschirurgie ( D.A.F. und G.F.F.C.) angeboten.

"Wir Sind sehr glücklich, dass wir Dr. Nastai getroffen haben und von ihm behandelt worden sind. Vom ersten bis zum letzten Tag hat er unser Baby sehr gut behandelt und erfolgreich beendet. Wir vertrauen ihm sehr und sind ihm sehr dankbar. Vielen Lieben Dank Dr. Nastai."
Keklikçi Tugce Ç.
"Ich bin noch ganz frisch operiert, eine Woche. Sehr zufrieden. Schmerzen und Schwellung hoffe ich das die bald verschwunden sind. Hammerzehe (Krallenzehe) adeeee!"
Hilde L.
FUß- u. SPRUNGGELENKSPEZIALISTEN
Dr.-medic Manuel Nastai
Frau Anna Peysang
Dr.-medic Melanie Selle
Dr. M. Nastai

View Comments

  • Guten Tag,

    sehr interessanter Artikel bezüglich der verschiedenen Op.-Techniken; leider fehlen mir Angaben zu Langzeitstudien-/ Ergebnissen ab dem 2 postop. Jahr.

    Möchte als Langzeitergebnis gern das generelle Tragen von "Schlappen" bzw. hässlichen orthopädischen Schuhen umgehen; gibt es außer pekuniären Empfehlungen auch neue konservative Therapieansätze?

    Vielen Dank.

    MfG

    • Sehr geehrter Herr Schwan,

      danke für Ihren Kommentar. Wenn man über Ergebnisse der Langzeitstudien bei den vorgestellten OP-Techniken bespricht, findet man in der Literatur sehr viele Berichte mit gute und sehr gute Ergebnisse in >95% der Fälle. Dies gilt auch für die in Deutschland relativ neuen minimalinvasiven Techniken (z.B. MICA). Die Ergebnisse sind sehr an dem Operateur abhängig. Es geht um seine Kenntnisse in der Indikationsstellung, die Wahl der operativen Methode und sein operatives Geschick. Wenn wir von der Wissenschaftlichen zurücktreten und uns auf der Insider-Ebene bewegen, kann ich Ihnen sagen, dass jeder Operateur die gleiche OP-Methode anders macht und verschiedene Ergebnisse bringt. Ich weiß, ohne es wissenschaftlich belegt zu haben, dass in spezialisierten Zentren und in der Hallux valgus-Chirurgie erfahrene Chirurgen bessere Ergebnisse und weniger Komplikationen haben, als in den allgemeinen Orthopädien und Chirurgien. Genauso wie in jedem anderen Handwerk, wenn man diese Eingriffe oft genug durchführt, hat man die Gelegenheit von seiner eigenen Fehlern zu lernen und sich weiter zu entwickeln.

      Eine der größten Probleme der Hallux valgus Chirurgie, wie bereits im Beitrag erwähnt, ist die Rezidiv. Wenn diese entsteht, handelt es sich in der Regel um eine suboptimale Wahl der Operationsmethode und suboptimale Operationstechnik. Die Rezidiv entsteht kurz nach der Operation. Wenn also die Korrektur nach einem Jahr hält, kann man davon ausgehen dass eine Rezidiv mehr entsteht.

      Ein anderes Problem ist die Steife des Großzehengrundgelenkes. Diese kann durch eine schonende Operationstechnik und durch die Wahl einer extraartikulären minimalinvasiven Operationsmethode vermieden werden.

      Bzgl. der konservativen Maßnahmen sehen Sie bitte die Sektion "Welche nicht operativen Behandlungen stehen für Hallux valgus zur Verfügung?" vom Beitrag.

Share
Published by
Dr. M. Nastai

Recent Posts

Minimalinvasive Zadek Osteotomie

Eine Haglundexostose bei Patienten mit Hohlfuß-Fehlstellung ist ein hartnäckiges Problem. Durch eine einfache Abtragung kann…

3 Jahren ago

Minimalinvasive Exophytenresektion am Sprunggelenk

Knöcherne Anbauten (med. Exophyten) können die Sprunggelenkbeweglichkeit einschränken und führen zur Bewegungseinschränkung und dadurch zur…

3 Jahren ago

Arthrodese des Großzehengrundgelenks

Die Arthrodese des Großzehengrundgelenkes ist eine operative Methode zur Behandlung des endgradigen Hallux rigidus bzw.…

4 Jahren ago

Der Spitzfuß | Pes equinus

Wie der Name eindeutig ankündet, handelt es sich um Fußfehlstellungen mit Belastung auf der Fußspitze…

4 Jahren ago

Fußchirurgisches Netzwerk | Partner

Der Fuß ist ein komplexes Körperteil und er leidet unter Krankheiten verschiedener Organe und Systeme.…

4 Jahren ago

Syndesmosenband-Stabilisierung mit Tight rope

Die isolierte Syndesmosenruptur ist eine relativ seltene, jedoch häufig übersehene Verletzung. Inkorrekt behandelt kann zu…

4 Jahren ago

This website uses cookies.