Ein 67‑jähriger Patient stellt sich mit seit längerem bestehenden Schmerzen, Schuhkonflikt und zunehmender Steife im Großzehengrundgelenk (MTP I) vor. Konservative Maßnahmen (angepasstes Schuhwerk, Einlagen, Analgetika) blieben ohne ausreichende Wirkung; das Abrollen erfolgt ausweichend über die laterale Fußkante.
Dieser Text wurde nach bestem Wissen und Gewissen nach aktuellem wissenschaftlichen Stand zu Aufklärungszwecken bereitgestellt. Er dient der medizinischen Aufklärung und nicht zur Selbstdiagnose. Er ersetzt keine Vorstellung bei einem Facharzt.
Inhaltsverzeichnis
Klinischer Befund
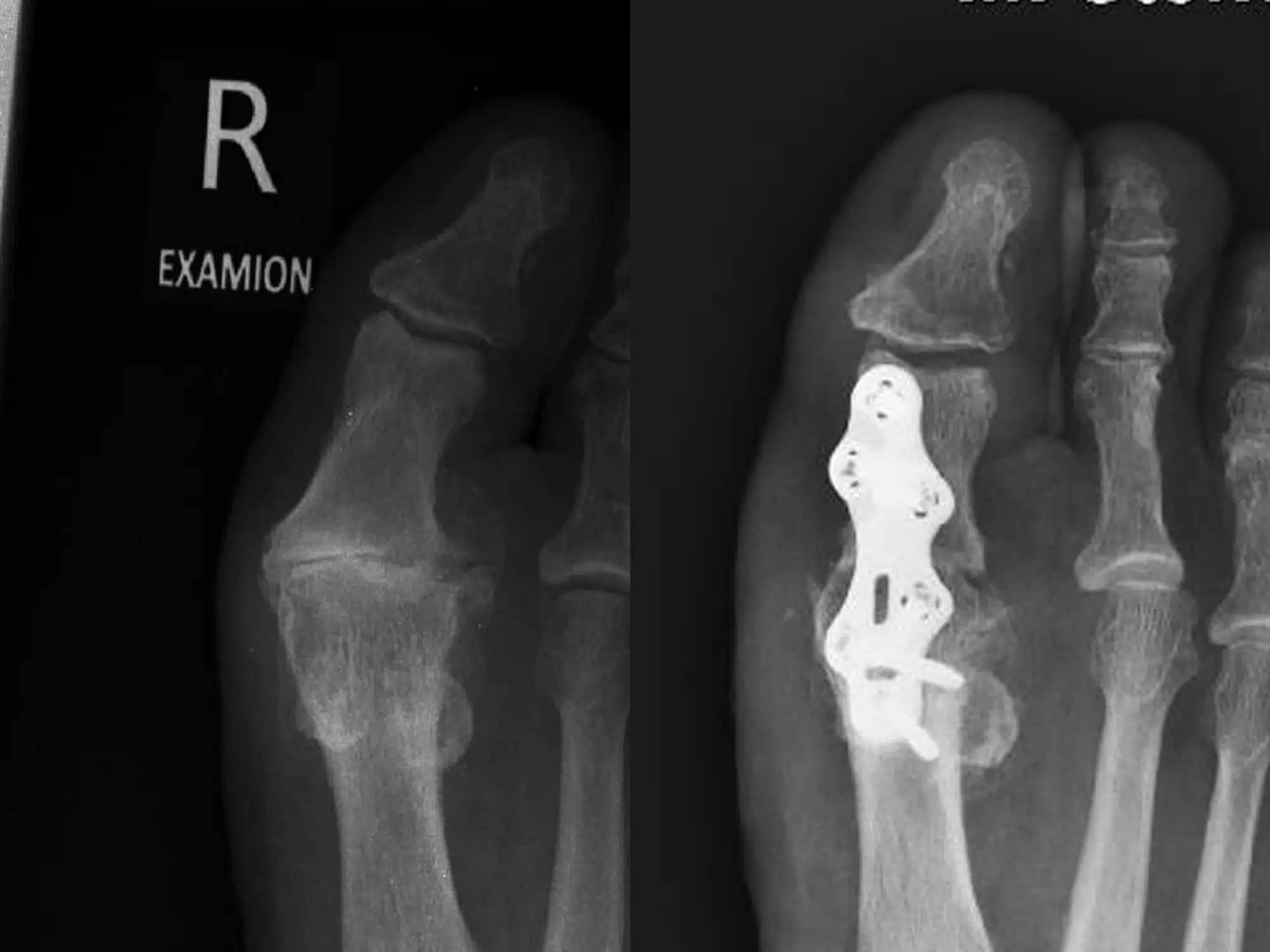
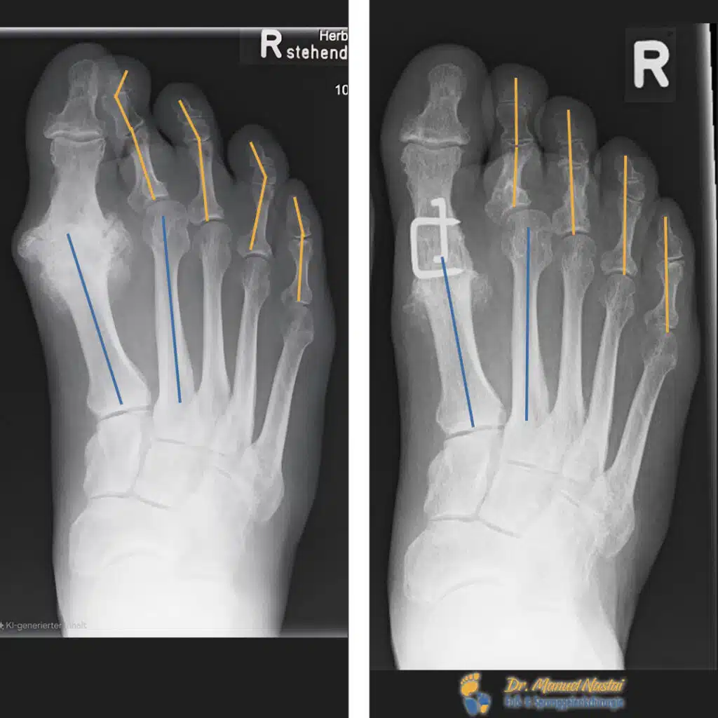
Prominente, druckdolente Vergrößerung des MTP‑I mit osteophytären Ausziehungen, endgradige Steife mit aufgehobener Dorsalextension. Sekundär vermehrte Hornhaut lateral; Kleinzehen (siehe in Blau die Fehlstellung und den Großzeh in Orange) zeigen eine mediale Abweichung mit zeitweisem Überkreuzen.
Bildgebung Befund (DP und seitlich, unter Belastung):
MTP-I: Ausgeprägte, überwiegend hypertrophe Arthrose. Der Gelenkspalt ist weitgehend aufgehoben, subchondrale Sklerosen an Metatarsalköpfchen und Grundphalanx, randständige osteophytäre Anbauten dorsal und medial; Metatarsalköpfchen verbreitert. Keine Frakturzeichen.
Strahlen II–V: Zeichen einer Zehenfehlstellung mit Tendenz zu Hammer-/Krallenzehen, jedoch ohne eindeutige luxatorische Fehlstellung der MTP-Gelenke. Weichteile unauffällig.
Vergleich:
Gegenseite mit schlankem Metatarsalköpfchen I und regelrechter Gelenkweite des MTP-I ohne osteophytäre Anbauten – dient als Referenz.
Beurteilung:
Bild eines fortgeschrittenen Hallux rigidus (MTP-I-Arthrose, KL 3–4) rechts mit nahezu aufgehobenem Gelenkspalt, subchondraler Sklerose und dorsomedialen Osteophyten.
Diagnose
Endgradiger Hallux rigidus des MTP‑I mit sekundärer lateraler Überlastung und Schuhkonflikt.
Operation
Entscheidung zur Arthrodese des MTP‑I als Goldstandard bei endgradiger Arthrose. Osteophyten wurden entfernt; die Gelenkflächen in Cup‑and‑Cone‑Technik vorbereitet und das Gelenk in funktioneller Stellung (leichte Dorsalextension und Valgus) kompressionsstabil fusioniert. Fixation mittels zweier Kompressionsklammern. Hautverschluss mit Klammerpflastern, sodass keine Fadenentfernung notwendig war. Zusätzlich wurden konfliktierende Kleinzehen minimalinvasiv gelöst, parallel gestellt und für sechs Wochen getapet.
Nachbehandlung
Vollbelastung im Verbandschuh für sechs Wochen; Thromboseprophylaxe für zwei Wochen nach Risikoprofil, Analgesie für ca. drei Tage. Hochlagerung, ambulante Wundkontrollen. Übergang in Konfektionsschuhe nach radiologischer Konsolidation.
Verlauf
Unmittelbar postoperativ geringe Schwellung und Blutung; sichtbare Achskorrektur. Nach drei Monaten durchgehende knöcherne Fusion in korrekter Stellung, regelrechte Implantatlage; klinisch schmerzfrei, regelrechtes Abrollen über den Ballen, beschwerdefreies Tragen von Konfektionsschuhen. Zehen liegen nebeneinander ohne Überkreuzen; die zuvor laterale Hornhautbildung rückläufig.
Fazit
Die Arthrodese des MTP‑I ermöglicht bei endgradigem Hallux rigidus eine verlässliche Schmerzreduktion, stabile Abrollfunktion und hohe Alltagstauglichkeit. Die Ergebnisse sind in Dauerhaftigkeit häufig anderen Verfahren überlegen.
Mehr Infos:
Ahmed Qretam
Dr.-medic Melanie Selle
Daniel Thriemer
Lorem ipsum dolor sit amet, consectetur adipiscing elit. Ut elit tellus, luctus nec ullamcorper mattis, pulvinar dapibus leo.

































